当前位置:肿瘤瞭望>百家>病例>正文

HER2阳性晚期乳腺癌多线治疗如何排兵布阵丨一例HER2阳性晚期乳腺癌的病例分享

作者:肿瘤瞭望   日期:2022/6/14 12:12:50  浏览量:20009

肿瘤瞭望版权所有,谢绝任何形式转载,侵犯版权者必予法律追究。

HER2阳性乳腺癌侵袭性强、复发率高、预后不良。曲妥珠单抗的问世极大的改善了HER2阳性乳腺癌患者的预后和生存。对于晚期HER2阳性乳腺癌,持续的抗HER2治疗尤为重要。汉曲优?作为国内首个上市的曲妥珠单抗生物类似药,疗效等同于原研曲妥珠单抗。本文通过一例复发转移的HER2阳性乳腺癌,一线抗HER2治疗使用曲妥珠单抗出现原发耐药,二线抗HER2治疗使用吡咯替尼有效,三线抗HER2治疗使用汉曲优联合帕妥珠单抗双靶治疗仍有效,进一步提示了双靶联合治疗可以作为曲妥珠单抗治疗失败患者的选择。

▌病例作者:荀培教授 北京大兴区人民医院

 
▌点评专家:蒋宏传教授 首都医科大学附属北京朝阳医院、宋春青教授 北京大兴区人民医院
 
编者按
 
●HER2阳性乳腺癌侵袭性强、复发率高、预后不良。曲妥珠单抗的问世极大的改善了HER2阳性乳腺癌患者的预后和生存。对于晚期HER2阳性乳腺癌,持续的抗HER2治疗尤为重要。汉曲优®作为国内首个上市的曲妥珠单抗生物类似药,疗效等同于原研曲妥珠单抗。本文通过一例复发转移的HER2阳性乳腺癌,一线抗HER2治疗使用曲妥珠单抗出现原发耐药,二线抗HER2治疗使用吡咯替尼有效,三线抗HER2治疗使用汉曲优联合帕妥珠单抗双靶治疗仍有效,进一步提示了双靶联合治疗可以作为曲妥珠单抗治疗失败患者的选择。(注:本文中汉曲优为复宏汉霖研发生产的曲妥珠单抗)
 
病史简介
 
患者:女性,62岁,体重65kg,身高160cm,体表面积:1.65
 
初诊日期:2019年11月17日
 
主诉:确诊右乳癌肝转移3月余
 
现病史:患者2019年3月前发现右乳肿物,皮肤红肿,乳腺腺体质硬,伴有右腋下淋巴结肿大,未予诊治,遂乳腺肿物逐渐增大,2019年8月行乳腺肿物穿刺病理:浸润性导管癌Ⅲ级,ER(-)、PR(-)、HER2(2+)、Ki67(30%+),未行FISH检测,2019.8.17~2019.9.10 在当地医院给予AT(表柔比星联合紫杉醇)×2周期评价PD。
 
2019.10.08患者行FISH检测:HER2基因扩增。2019.10.16~2019.11.7使用多西他赛联合原研曲妥珠单抗3周方案×2周期,未评效,自诉乳腺肿物无明显变化。
 
婚育月经史:已婚,G2P2,13岁初潮,月经正常,50岁绝经。
 
既往史:既往糖尿病史2年。
 
家族史:否认家族肿瘤病史。
 
查体:ECOG 1分,右乳大片状皮肤红肿,橘皮征,乳头轻微内陷(图1),双乳未见破溃、流脓,未见酒窝征,未见静脉曲张,右乳内上限可触及肿块,约13×11cm,边界不清晰,形态不规则,活动性差,轻触痛,右腋窝可触及肿大淋巴结,约3×2cm,质韧,固定,挤压双乳头乳晕区未见乳头溢液,双侧锁骨上窝未触及肿大淋巴结,双上肢无水肿。
 
图1. 右乳橘皮征和乳头内陷(2019.11.17)
 
▌影像学检查:
 
2019.8.12 乳腺彩超:提示右乳内上象限可范围11.32*13.8cm低回声右乳皮肤增厚,最厚约9.7mm,右腋窝多发低回声淋巴结,较大者约35*17*20mm。
 
2019.8.12 腹部CT:肝脏多发结节,考虑转移。
 
2019.11.18(曲妥珠单抗联合多西他赛治疗2周期后)乳腺彩超:提示右乳内上象限可范围15.32*14.8cm低回声右乳皮肤增厚,最厚约19.7mm,右腋窝多发低回声淋巴结皮质增厚较大者约45*27*30mm。
 
2019.11.18 胸部CT:未见肺内转移。
 
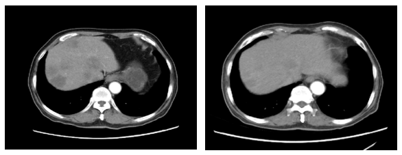
2019.11.18 腹部CT:肝脏多发结节(图2),考虑转移。
 
图2. 腹部CT(2019.11.18)
 
2019.11.18 骨扫描:未见骨转移。
 
▌实验室检查和活检病理:
 
2019.11.18 肿瘤标记物:CEA 35ng/ml,CA153 196U/ml,CA125 155U/ml
 
右乳腺活检病理提示:浸润性导管癌Ⅲ级,ER(-)、PR(-)、HER2(2+)、Ki67(30%+)
 
FISH检测:HER2扩增。
 
▌诊断:
 
右乳腺浸润性导管癌(cT4bN2M1 Ⅳ期)
 
右腋窝淋巴结多发转移
 
肝脏多发转移
 
治疗经过
 
▌晚期三线治疗:
 
2019.11.7~2019.12.7 曲妥珠单抗(赫赛汀?)+吉西他滨+卡铂,共计2周期。
 
▌治疗后评价:
 
临床评价:患者右乳腺疼痛加重。
 
查体:右乳大片状皮肤红肿,橘皮征,乳头轻内陷,未见酒窝征,右乳可触及肿块,约14*15cm,边界不清晰,形态不规则,活动性差,轻触痛,右腋窝可触及肿大淋巴结,融合成团,约4*3cm,质韧,固定。
 
2019.12.30肿瘤标记物:CEA 45ng/ml, CA153 216U/ml, CA125 175U/ml。
 
2020.1.5影像学评价:腹部CT:肝脏多发结节,较前增多增大,考虑进展(图3)。
 
图3. 腹部CT(左:2019.11.18,右:2020.1.5)
 
▌晚期四线治疗:
 
2020.1.10开始予吡咯替尼联合卡培他滨治疗:
 
1周期患者右乳疼痛减轻,右乳肿块较前缩小。
 
2周期后患者右乳疼痛明显减轻,不用口服止痛药物,右乳肿块继续缩小。
 
2020.4.12乳腺彩超提示右乳内上象限可范围7.2*8.8cm低回声右乳皮肤增厚,右腋窝多发低回声淋巴结皮质增厚较大者约25*17*10 mm
 
2020.4.12肿瘤标记物:CEA15ng/ml,CA153 116U/ml,CA125 105U/ml显著降低。
 
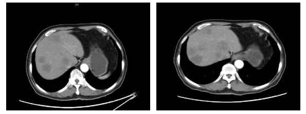
2020.4.12腹部CT:肝脏多发乏血供结节,较前明显减少并缩小(图4)。
 
图4. 腹部CT(左:2020.1.5,右:2020.4.12)
 
2020.12.15,吡咯替尼+卡培他滨治疗11月后再次出现进展。患者出现乳腺肿胀,腰痛,复查全身CT,新发骨转移,肝转移较前增大增多。
 
2020.12.15肿瘤标记物:CEA35.6 ng/ml,CA153 168U/ml,CA125 198 U/ml,较前增高。
 
▌晚期五线治疗:
 
2020.12.28给予帕妥珠单抗联合曲妥珠单抗(汉曲优)联合长春瑞滨治疗,3周方案。
 
治疗2周期后患者CEA由35.6 ng/ml降至15.2 ng/ml;右乳疼痛减轻,右乳肿块较前缩小。
 
治疗4周期后患者未诉右乳疼痛,右乳肿物继续缩小,乳头内陷较前好转(图5)。
 
图5 右乳治疗前后变化(左:治疗前2020.12.15;右:治疗后2021.3.15)
 
2021.3.15患者因经济原因放弃治疗。
 
▌晚期乳腺癌 HER2 阳性治疗总结:
 
一线:表柔比星联合紫杉醇 2周期 疗效评价PD
 
二线:曲妥珠单抗(赫赛汀)+多西他赛 2周期 疗效评价PD
 
三线:曲妥珠单抗(赫赛汀)+吉西他滨+铂 2周期 疗效评价PD
 
四线:吡咯替尼+卡培他滨  PFS 11月
 
五线:曲妥珠单抗(汉曲优)+帕妥珠单抗+长春瑞滨 PFS 4月+
 
病例小结
 
该例患者为HER2阳性乳腺癌,初诊Ⅳ期,肝转移。患者应用曲妥珠单抗联合多西他赛2周期后疾病进展,更换化疗药为吉西他滨+卡铂后,2周期评估仍显示进展,考虑曲妥珠单抗原发性耐药。曲妥珠单抗的耐药问题极大地影响了疗效。目前较明确的耐药机制主要包括人表皮生长因子受体2的羧基端片段(p95HER2)过表达、磷脂酰肌醇-3-激酶(PI3K)通路部分活化、人表皮生长因子受体(HER)信号传导上调、非HER家族生长因子受体介导信号上调,旁路的激活[1]。一些新型靶向药物如吡咯替尼、帕妥珠单抗、抗体偶联药物(ADC)为曲妥珠单抗耐药患者提供了新的选择。该案例患者证实为曲妥珠单抗原发耐药后,应用吡咯替尼联合卡培他治疗,实现11个月的PFS,该结果与PHENIX和PHOEBE研究结果类似[2,3],显示了TKI(酪氨酸激酶抑制剂)类药物在曲妥珠单抗耐药人群中抗HER2治疗中的重要作用。
 
注射用曲妥珠单抗(汉曲优)是曲妥珠单抗的生物类似药,其国际多中心的Ⅲ期临床试验结果显示,汉曲优与原研曲妥珠单抗疗效等效,安全性、免疫原性相似[4]。汉曲优先后于2020年7月和8月在欧洲和中国获批上市,并得到了包括国际NCCN-乳腺癌、胃癌、胃食管交界腺癌、肠癌、涎腺肿瘤等指南和ESMO-晚期乳腺癌国际共识,国内CSCO-BC/GC、CACA-CBCS等指南的大力推荐,明确指出曲妥珠单抗生物类似药与原研产品疗效等同、安全性相似,可按照国内获批的说明书上的适应症(HER2阳性乳腺的早期(新)辅助、晚期治疗和HER2阳性晚期胃癌)使用[5-8]
 
本案例患者在应用吡咯替尼治疗进展后,选用汉曲优与帕妥珠单抗联合长春瑞滨进行三线抗HER2治疗,同样表现出良好的抗肿瘤活性,遗憾的是患者因为经济原研中断了治疗。另外,本案例引发作者一些思考,对于曲妥珠单抗原发耐药和继发耐药的机制有何不同,NGS能否更早地识别出曲妥珠单抗原发耐药的患者,目前仍需要更多的临床研究去解答这些疑问。
 
专家点评(一)蒋宏传 教授
 
本例患者为初治Ⅳ期的HER2阳性乳腺癌患者,初诊时发现存在内脏转移。2021年中国抗癌协会乳腺癌专业委员会发布了《中国乳腺癌诊治指南与规范2021版》规范中指出:应尽可能在决定治疗方案前对复发或转移部位进行活检,以明确诊断和评估中肿瘤的ER、PR和HER2状态。
 
对于晚期乳腺癌局部治疗,如手术和放疗在初治为Ⅳ期乳腺癌中的价值还不明确。只有当全身药物治疗取得较好的疗效时,才可考虑姑息性的局部治疗,以巩固全身治疗的效果。因为对于晚期乳腺癌,目前一般认为其不可治愈,但可治疗,治疗目的是在提高患者生活质量的基础上,控制肿瘤,减轻症状,延长肿瘤控制时间和延长患者生存期。因此,对于初诊不可切除的乳腺癌,应该予以药物治疗为主的综合治疗。
 
回溯该患者初始治疗时未及时对HER2 ICH 2+不确定的状态进行原位杂交法进一步确认,幸好一线治疗后立即针对HER2 ICH 2+进行了FISH检测,且该患者从后续抗HER2治疗和化疗中明显获益,弥补了初始治疗的不足。
 
曲妥珠单抗与化疗联合应用的Ⅲ期H0648g和M77001研究证实,在紫杉类基础上联合曲妥珠单抗治疗,能够显著提高PFS和OS,确立了曲妥珠单抗联合紫杉类在一线标准治疗的地位。但该患者治疗2周期后评估疗效为进展,有研究显示在紫杉类+曲妥珠单抗方案基础上联合铂类可进一步提高疗效[9]。Campiglio等报道,一线治疗的疗效并不影响患者从二线含曲妥珠单抗方案中取得OS的获益。患者在三线给予PCH治疗2周期后快速出现疾病进展,考虑为原发耐药可能性较大。对于曲妥珠单抗±帕妥珠单抗治疗失败患者,单药T-DM1可延长PFS和OS,但基于经济和药物可及性问题,患者未能接受T-DM1治疗;吡咯替尼或奈拉替尼联合卡培他滨较拉帕替尼联合卡培他滨单药可延长PFS,该患者四线治疗采用吡咯替尼联合卡培他滨的治疗取得了11个月的PFS。
 
专家点评(二)宋春青 教授
 
《中国乳腺癌诊治指南与规范2021版》指出:曲妥珠单抗允许进行跨线治疗,GBG-26试验显示:选择曲妥珠单抗一线治疗后进展的晚期乳腺癌患者,二线曲妥珠单抗联合卡培他滨治疗患者的中位TTP为8.2个月。该患者五线治疗选用曲妥珠单抗(汉曲优)+帕妥珠单抗+长春瑞滨的方案跨线治疗,同样取得4个月+PFS。因此,对于多线治疗后进展的HER2阳性晚期乳腺癌,后续治疗方案的制订还需结合患者体力状态评分、既往治疗获益、不良反应及耐受性等情况。
 
此外,DESTINY-Breast01 Ⅱ期临床研究中[10],对于既往平均接受了6线治疗,其中100%接受过曲妥珠单抗和T-DM1治疗的患者,结果中位PFS高达19.4个月,这是目前所有HER2阳性晚期乳腺癌治疗中获得的最长PFS,甚至超过一线曲妥珠单抗+帕妥珠单抗+化疗标准治疗方案的18.7个月。因此,基于DS-8201如此惊艳的临床数据,鼓励晚期后线患者在有机会的时候参加设计科学、合理的临床研究。
 
参考文献
 
[1] 李娟, 叶斯斯, 白莉,等. 曲妥珠单抗耐药机制及其逆转策略[J]. 解放军医学院学报, 2017, 38(6):4.
 
[2] Yan, Min; Bian, Li; Hu, Xichun;et al(2020). Pyrotinib plus capecitabine for human epidermal growth factor receptor 2-positive metastatic breast cancer after trastuzumab and taxanes (PHENIX): a randomized, double-blind, placebo-controlled phase 3 study. Transl Breast Cancer Res 2020;1:13 |
 
[3] Pbx A ,  Pmy B ,  Pfm A , et al. Pyrotinib plus capecitabine versus lapatinib plus capecitabine for the treatment of HER2-positive metastatic breast cancer (PHOEBE): a multicentre, open-label, randomised, controlled, phase 3 trial - ScienceDirect[J]. The Lancet Oncology, 2021, 22(3).
 
[4] XU B, ZHANG Q, SUN T, et al. Efficacy, Safety, and Immunogenicity of HLX02 Compared with Reference Trastuzumab in Patients with Recurrent or Metastatic HER2-Positive Breast Cancer: A Randomized Phase III Equivalence Trial[J]. BioDrugs, 2021.
 
[5] NCCN Clinical Practice Guidelines in Oncology (NCCN Guidelines) Breast Cancer,NCCN Guidelines for Patients available at www.nccn.org/patients[J]. 2021, Version 1.2021 -January 15, 2021.
 
[6] CARDOSO F, PALUCH-SHIMON S, SENKUS E, et al. 5th ESO-ESMO international consensus guidelines for advanced breast cancer (ABC 5)[J]. Ann Oncol, 2020, 31(12): 1623-1649.
 
[7] 中国临床肿瘤学会指南工作委员会, 乳腺癌诊疗指南2022版.
 
[8] 中国抗癌协会乳腺癌诊治指南与规范(2021年版)[J]. 中国癌症杂志, 2021, 31(10): 954-1040.
 
[9] 中国医师协会肿瘤医师分会乳腺癌学组. 铂类药物晚期乳腺癌应用专家共识(2020版) [J] . 中华肿瘤杂志, 2021, 43(2) : 167-175.
 
[10]  Modi S ,  Saura C ,  Yamashita T , et al. Abstract PD3-06: Updated results from DESTINY-breast01, a phase 2 trial of trastuzumab deruxtecan (T-DXd ) in HER2 positive metastatic breast cancer[C]// Abstracts: 2020 San Antonio Breast Cancer Virtual Symposium; December 8-11, 2020; San Antonio, Texas. 2021.
 
病例报告者简介
 
 
荀培 教授
 
大兴区人民医院肿瘤内科副主任医师
 
北京乳腺病防治学会基层诊疗专业委员会 常委
 
北京健康促进会乳腺癌防治专家委员会 常委
 
中国医药教育协会肿瘤化学治疗专业委员会青委委员
 
中国女医师协会第一届乳腺研究中心青年委员
 
北京肿瘤学会肺癌专业委员会第一届肺癌专业委员会委员
 
中国抗癌协会重症专业委员会委员
 
北京乳腺病防治学会第三届理事会内科专业委员会委员
 
病例点评专家简介
 
 
蒋宏传 教授
 
首都医科大学附属北京朝阳医院
 
主任医师,教授,硕士研究生导师,乳腺外科主任
 
中国医师协会乳腺疾病培训专家委员会主任委员
 
中华医学会外科学分会乳腺外科学组委员
 
中华医学会肿瘤学分会乳腺学组委员
 
北京医学会乳腺疾病分会副主任委员
 
北京乳腺疾病防治学会外科分会副主任委员
 
《中华外科杂志》、《中华乳腺外科杂志》、《中国微创外科杂志》等杂志编委、常务编委
 
 
宋春青 教授
 
大兴人民医院肿瘤内科主任
 
北京市乳腺癌基层委员会副主任委员
 
北京市肿瘤治疗质量控制和改进中心肿瘤化疗质控专家委员会委员
 
北京癌症防治学会肿瘤规范化推广应用专业委员会秘书长
 
中国医药教育协会肿瘤化学专业治疗青年委员会委员
 
北京抗癌协会第一届肺癌专业委员会委员
 
中国中药研究促进会肿瘤分会青年委员
 
国家肿瘤微创治疗产业技术创新联盟专家委员会委员
 
中国抗癌协会会员
 
北京乳腺病防治学会内科专业委员
 
北京乳腺病健康管理委员会常务委员
 
北京市中西医结合学肿瘤专业委员会青年委员
 
北京肿瘤防治研究会转化医学分委会委员
 

本内容仅供医学专业人士参考


HER2阳性晚期乳腺癌

分享到: 更多