当前位置:肿瘤瞭望>资讯>正文

病例精粹丨转角遇到希望,黄成教授分享一例肝癌靶免转化治疗患者

作者:肿瘤瞭望   日期:2021/12/14 10:29:19  浏览量:15162

肿瘤瞭望版权所有,谢绝任何形式转载,侵犯版权者必予法律追究。

手术切除是肝癌最有效的治疗手段之一,但多数肝癌患者确诊时已处于晚期无法接受根治性手术。转化治疗已成为中晚期肝癌的重要治疗手段,可以通过局部和或系统治疗(如靶免治疗)将初始不可切除肝癌(uHCC)患者转化为可切除,从而改善患者预后。

编者按:手术切除是肝癌最有效的治疗手段之一,但多数肝癌患者确诊时已处于晚期无法接受根治性手术。转化治疗已成为中晚期肝癌的重要治疗手段,可以通过局部和或系统治疗(如靶免治疗)将初始不可切除肝癌(uHCC)患者转化为可切除,从而改善患者预后。该病例为一例巨块型肝癌伴门脉癌栓形成合并肺转移,中国肝癌临床分期(CNLC)IIIb期,治疗前肿瘤最大直径18.4cm,通过接受仑伐替尼(乐卫玛®)联合信迪利单抗治疗后肿瘤降期,肝内病灶实现R0切除。患者目前OS已达17个月。
 
病例报告
 
患者男性,60岁,江苏人,因“右上腹痛 1周”入院,无畏寒、发热、黄疸、腹胀等不适症状,
 
无高血压史,无糖尿病史;慢性乙型肝炎病史10年,拉米夫定抗病毒治疗;无手术史。
 
术前实验室检查:
 
乙肝小三阳;HBV-DNA 9.25×102 copy/ml;肿瘤标志物:AFP > 60500 ng/mL;CEA 3.2ng/mL;CA19-9 70.4U/mL;PIVKA-II >70500 mAU/mL,7miRNA(+);血生化:TB 21.1μmol/L;DB 7.2μmol/L;ALT 42U/L;AST 53U/L;A 37g/L;Pre-A 0.15g/L;血常规/凝血:HB 147g/L; PLT 213X109/L;WBC 2.04X109/L;PT 12.2s;
 
术前影像学检查:
 
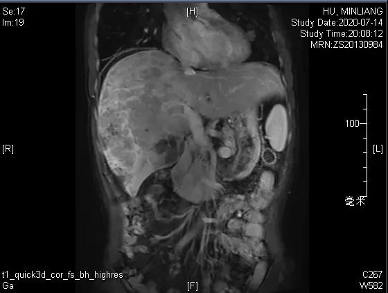
肝脏弹性超声:12kPa。腹部MRI平扫+增强:肝巨块结节性HCC(最大径18.4cm)伴肝内多发转移(最大径3.5cm),肝右静脉广泛癌栓形成;肝硬化伴门脉高压、脾大、少量腹水;肝囊肿;双肺多发转移。胸部CT平扫:两肺多发转移,两肺气肿伴肺大泡,两肺散在慢性炎症,右侧少量胸水。
 
 
 
 
Δ肝脏MRI,最大肿瘤18.4cm
 
 
 
Δ肺CT:双肺多发转移
 
肝穿刺活检:考虑肝细胞癌,免疫组化示CK7(-),CK19(少数+),CD34(血窦丰富),S-100p(少数+),ARG-1(+),Hepa(+),GS(+),GPC3(+),HSP70(+),Ki-67(20%+),B-cat(膜+),p53(5%+)
 
治疗过程
 
男性,60岁; 术前评估肝功能 Child-Pugh A;术前评估肝硬化中度;入院后开始改抗病毒药物,恩替卡韦口服;诊断:肝细胞癌,BCLC C期,CNLC IIIb期。
 
治疗方案:仑伐替尼(乐卫玛®) 8 mg qd、信迪利单抗200 mg iv q3w。
 
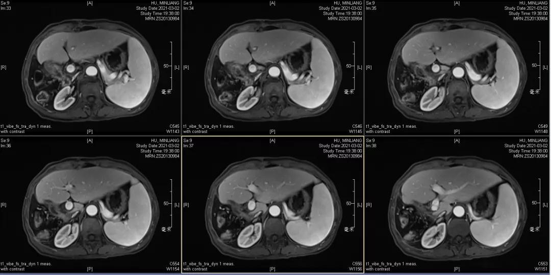
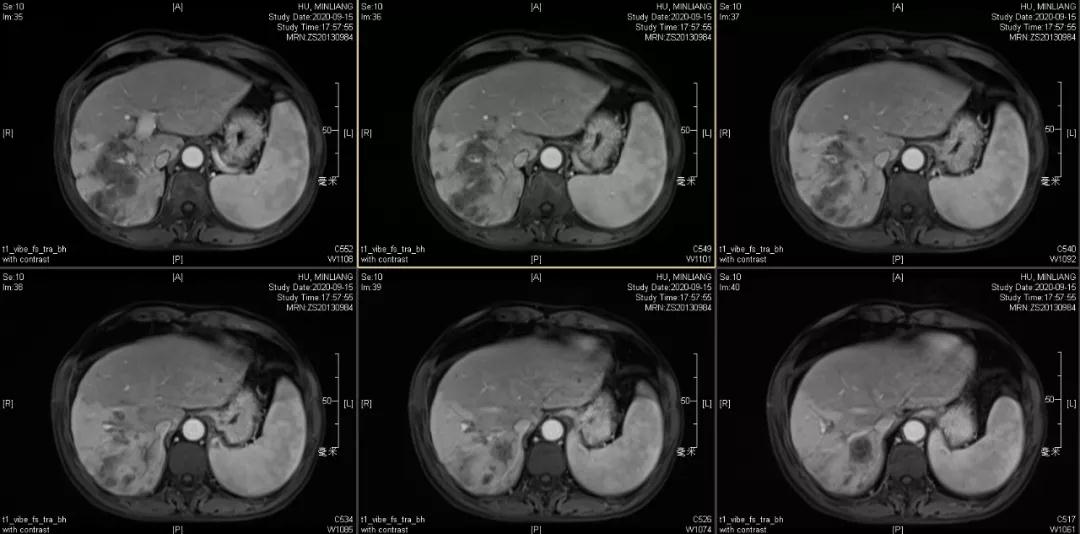
肿瘤学评估(用药后2个月对比6个月):肝内主瘤明显缩小,动脉期强化降低;子灶消失;门脉右支癌栓明显缩小坏死;肺转移灶缩小,大部分消失。
 
 
2020-09-15
 
 
2021-01-25
 
 
 
 
 
Δ治疗过程中病灶影像学变化
 
MDT讨论:
 
用药2个月后:要不要转化切除?考虑到患者伴有肺转移,决定继续用药观察,若肺转移继续稳定,可考虑转化切除,抗病毒治疗建议改TAF治疗。
 
用药6个月后:肝脏病灶明显缩小,子灶消失,仅有少量动脉期强化;肺转移单个持续缩小稳定,PET CT活性弱;HBV DNA 转阴;可考虑转化切除。
 
2021-2-1 手术切除:右半肝切除术+胆囊切除
 
术后病理:病理学CR
 
术后1月复查:磁共振肝内未见肿瘤复发,肺部单个肿瘤稳定。
 
术后末次随访2021年12月6日,肝内未见明显病灶,肺部病灶稳定1.3cm。
 
目前OS 17个月,RFS 10个月。
 
 
 
Δ末次随访MRI及AFP变化
 
诊疗思考
 
肝癌是全球最常见、引起死亡人数最多的癌症之一,多数患者发现是已经处于不可切除的状态,总体预后较差。近年来,靶向治疗、免疫治疗等治疗手段不断获得卓越的进步,给中晚期肝癌患者带来了新希望。当PD-1抗体联合抗血管生成靶向药物治疗之后,ORR大幅提高,给患者创造了更多的根治性手术切除机会,并能进一步延长患者生存时间。
 
该病例患者采用仑伐替尼(乐卫玛®)联合信迪利单抗治疗6个月后肿瘤明显缩小伴子灶消失,肝内病灶最终实现降期切除;肺转移单个病灶持续缩小坏死。且患者在接受联合治疗3周后,AFP、DCP显著下降,根据本中心既往一项回顾性研究结果显示,早期肿瘤标志物的下降可作为uHCC患者接受仑伐替尼(乐卫玛®)联合免疫治疗后影像学缓解的预测因素,AFP及DCP降低可能是预测影像学缓解的方式之一(AFP降低大于50%预测影像学缓解的ROC曲线下面积为0.706;DCP降低大于50%预测影像学缓解的ROC曲线下面积为0.752)。
 
截止目前该患者OS 17个月、RFS 10个月,可以说这样的治疗组合为中晚期肝癌的转化治疗提供了新策略,同时也充分印证了乐卫玛®联合免疫在肝癌转化治疗中的重要价值。未来通过该种联合治疗策略的探索与进一步深入研究,希望能为更多的肝癌患者带来获益。
 
 
黄成
 
副主任医师,副教授,医学博士,日本国立癌症中心博士后,硕士生导师
 
复旦大学附属中山医院肝外科 
 
中国微循环学会肝脏微循环专业委员会常务委员
 
国家自然科学基金评审专家
 
《Journal Clinics in Surgery》、《Journal Clinics in Oncology》编委,《中华肝胆外科杂志》通讯编委,《肝胆胰外科杂志》特约编委,Journal of Hematology & Oncology, Cancer Letter 等10余本杂志审稿人。2009-2010年公派至日本国立癌症中心进行肝癌血管侵犯的博士后研究。近年来国内外核心期刊和SCI杂志发表论文40余篇(包括 Nature , JCO等),其中第一作者和通讯作者论文SCI收录(Molecular Cell IF 17.91, Journal of Hematology & Oncology IF 17.39,Clinical Cancer Research IF 12.53,Liver Cancer IF 11.74)等;独立主持4项国家自然科学基金;参编了16本学术专著和手术图谱,包括《Blumgart 肝胆胰外科学(第6版)》 《钱礼腹部外科学II、III版》、《施维锦胆道外科学》、《肿瘤外科手术学》、《肝脏肿瘤外科学》、《肿瘤外科手术彩色图解》等;参与了多个国家级手术教学和专题视频制作(如《中国当代医学名家经典手术》等)

本内容仅供医学专业人士参考


肝癌

分享到: 更多