当前位置:肿瘤瞭望>百家>病例>正文

例例在望丨雾锁寒江—早期非小细胞肺癌术后短期复发的迷雾与导航

作者:肿瘤瞭望   日期:2025/8/1 13:12:42  浏览量:13550

肿瘤瞭望版权所有,谢绝任何形式转载,侵犯版权者必予法律追究。

本文报道2例I期肺癌术后短期内复发的病例,思考早期NSCLC术后复发的因素及探讨MRD检测在肺癌术后复发监测中的作用。

巩晓瑞,马锐丨辽宁省肿瘤医院胸内二科
 
肺恶性肿瘤已成为全球发病率及死亡率最高的恶性肿瘤,确诊时大多数患者分期较晚是影响肺癌预后的重要原因,而早期肺癌(IA、IB期)通过以手术为主的多学科综合治疗可以实现较好的预后,甚至达到治愈的目的。对于I期非小细胞肺癌(NSCLC)患者其5年生存率可达77%-92%[1]。然而,临床中有一部分早期NSCLC患者在R0切除术后两年内会遭遇戏剧性的病情转折—原本被根治的肿瘤却以更凶险的姿态卷土重来。是什么浇灭了早期肺癌患者的希望,导致患者短期内复发或转移?我们又该如何寻找到降低术后复发风险、预测术后复发的风向标呢?
 
本文报道2例I期肺癌术后短期内复发的病例,思考早期NSCLC术后复发的因素及探讨MRD检测在肺癌术后复发监测中的作用。
 
马锐教授
辽宁省肿瘤医院胸内二科主任,肿瘤学博士
中国医科大学、大连医科大学硕士研究生导师
学术兼职:中国临床肿瘤学会理事会理事,中国老年学学会老年肿瘤专业委员执行委员,中国老年学学会老年肿瘤专业委员肺癌分委会常务委员,中国医药教育协会肺部肿瘤专委会常务委员,辽宁省生命科学学会常务理事,中国抗癌协会肺癌专业委员会委员,辽宁省抗癌协会理事会理事,辽宁省生命科学学会肺癌专业委员会主任委员,辽宁省抗癌协会肿瘤转移专业委员会主任委员,辽宁省抗癌协会肿瘤标志物专业委员会副主任委员,辽宁省医学会内科学分会委员会常务委员,辽宁省生命科学学会老年肿瘤专业委员会常务委员,沈阳市医学会肺部肿瘤学分会副主委,中国肿瘤生物治疗杂志、中国实用内科、医学与哲学,沈阳医学院学报等多家杂志编委及审稿专家。沈阳市领军人才。
主持省部级、市级课题9项,获辽宁省科技进步三等奖2项、沈阳市科技进步二等奖1项,第一及通讯作者发表论文50余篇。
 
巩晓瑞教授
辽宁省肿瘤医院胸内二科主治医师,医学硕士
北京医学奖励基金会肺癌医学青年专家委员会委员,辽宁省细胞生物学学会肺癌诊断与微创综合治疗专业委员会委员,辽宁省细胞生物学学会肿瘤精准医疗与大数据管理专业委员会青年委员,辽宁省生命科学学会肺癌专业委员会委员
 
病例1
 
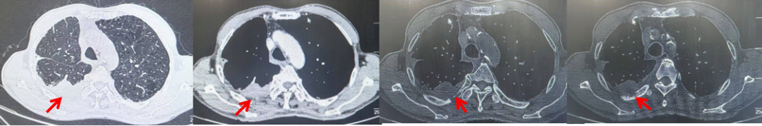
69岁男性,无糖尿病、高血压、心脏病等基础疾病,无吸烟、饮酒史,无肿瘤家族史。2023.06.07行胸部CT检查:右肺上叶胸膜下见肿物影,大小约33mm×22mm,边缘可见分叶,考虑恶性病变可能性大,双肺间质改变(如图1)。2023.06.14行“单孔胸腔镜下右肺上叶切除、肺门及纵隔淋巴结清扫、胸膜粘连松解术”;术后病理:(右肺上叶)腺癌(低分化,实体型占60%,不良腺体占40%),局灶伴神经内分泌标记表达(CD56、Syn),可见STAS及胸膜侵犯,未见确切神经侵犯及脉管内癌栓;(气管切缘)净;(淋巴结)未见转移癌0/26(2组0/2;4组0/6;7组0/2;对侧7组0/8;10组0/2;11组0/3;12组0/2;13组0/1)。术后分期pT2aN0M0 IB期,术后NGS基因检测:无驱动基因突变,PD-L1(22C3)TPS<1%。术后定期复查。
 
2024.11.19患者出现右侧胸痛,复查胸部CT检查示右侧胸膜肿物,大小约31mmX24mm,右侧4、5肋骨骨质破坏,考虑转移(如图2)。建议患者穿刺活检取病理明确诊断,患者拒绝,经MDT会诊后结合影像学表现及病史考虑为胸膜转移,肋骨转移,分期为rT0N0M1a IVA期,DFS仅仅17个月。2024.12.05起行信迪利单抗联合培美曲塞+卡铂方案治疗4周期,复查胸CT评效PR(如图3)。之后给予信迪利单抗+培美曲塞维持治疗6周期,期间复查CT评效PR(如图3)。目前信迪利单抗+培美曲塞维持治疗中,截止至目前PFS约为8个月,治疗期间未出现明显毒副反应。
 
图1:患者手术前(2023.06)胸部CT肺窗及纵隔窗
 
图2:患者胸膜及肋骨转移(2024.11)胸部CT肺窗、纵隔窗及骨窗
 
图3:患者免疫联合化疗治疗后胸部CT,(A、B)图展示信迪利单抗联合培美曲塞+卡铂治疗
4周期(2025.02)疗效,(C、D)图展示信迪利单抗+培美曲塞维持治疗6周期(2025.07)疗效
 
图4:该患者诊治经过
 
病例2
 
71岁男性,高血压病史20年,口服药物治疗,无糖尿病、心脏病等基础疾病,吸烟史50年,20支/天,已戒1年余,无饮酒史,无肿瘤家族史。2023.11因咳嗽、咳痰行胸CT检查:左肺下叶占位性病变,大小约12mmx8mm(如图5)。2023.11.20行“单孔胸腔镜左肺中下叶切除、肺门及纵隔淋巴结清扫、胸膜粘连松解术”;术后病理:(左肺下叶)结合免疫组化鳞状细胞癌(中、低分化),局部见脉管内癌栓,未见确切神经侵犯,(气管切缘)净。(淋巴结)未见转移癌0/19(4组0/1;5组0/1;6组0/2;7组0/1;9组0/1;10组0/2;11组0/3;12组0/2;13组0/2;14组0/4)。术后分期pT1bN0M0 IA期,术后定期复查。
 
2024.09.12复查胸部CT示左侧胸膜结节,大者约为27mmx13mm,考虑转移可能性大,纵隔淋巴结增大,恶性?(如图6)。患者行胸膜穿刺活检取病理,结果示(胸膜)结合免疫组化,支持鳞状细胞癌,PD-L1(克隆号28-8)TPS约20%。分期为rT0N2bM1a IVA期,DFS为10个月。2024.09.24起行替雷利珠单抗联合紫杉醇+卡铂方案治疗4周期,复查胸CT评效SD(如图7)。后患者因脑梗塞停止治疗,于综合医院就诊,后未返院复查及治疗。
 
图5:患者手术前(2023.11)胸部CT肺窗及纵隔窗
 
图6:患者胸膜及纵隔转移(2024.09)胸部CT肺窗及纵隔窗
 
图7:替雷利珠单抗联合白蛋白紫杉醇+卡铂治疗4周期后(2024.12)胸部CT肺窗及纵隔窗
 
图8:该患者诊治经过
 
讨论
 
根据CSCO指南,对于IA期NSCLC术后不建议辅助治疗,对于IB期(包括有高危因素的)肺腺癌术后患者,需进行基因检测,如EGFR敏感突变阳性,建议给予奥希替尼术后靶向治疗3年;如无驱动基因,由于缺乏高级别证据的支持,常规不推荐辅助化疗,建议观察。而对于驱动基因阴性的I期NSCLC患者,术后1年复发率约为5%-10%,2年复发率约10%-15%[2]。EGFR阳性患者接受辅助靶向治疗可显著降低2年复发率至<5%[3]
 
目前发现早期肺癌术后短期复发(通常指术后2年内)可能与多种因素相关,涉及肿瘤术前评估、手术方式、病理类型及个体因素等。肺癌术前评估是确保患者适合手术并降低围手术期风险的关键步骤,在手术治疗前应充分评估患者的肿瘤分期、心肺功能及合并症管理。在分期方面,需行增强CT、MRI等评估原发肿瘤的情况及明确有无远处转移。同时建议行PET-CT,结合代谢值协助诊断有无微小转移。本文中两例患者术前均未行PET-CT检查,术后短期内复发,不除外术前即存在纵隔淋巴结或胸膜微小转移,术后转移灶逐渐生长至胸部CT可评估。手术方式的选择直接影响患者的长期生存率、复发风险和生活质量。肺叶切除术是早期肺癌的标准术式,它的优势在于彻底切除肿瘤引流区域,减少微转移残留风险,根治性最佳,局部复发率低。亚肺叶切除术适用于周围型小肿瘤(≤2cm,T1a)、老年或肺功能较差患者(FEV1<1.5L)及纯磨玻璃结节(GGO)成分>50%的早期肺癌(如AIS或MIA)。JCOG0802/WJOG4607L[4]研究显示,对于≤2cm的周围型NSCLC,肺段切除术的生存率不劣于肺叶切除(ⅠA期94.3%vs 91.1%),且保留更多肺功能。但亚肺叶切除可能残留肿瘤细胞,若肿瘤实际范围超出预期,易导致复发。淋巴结清扫不彻底,未达到系统性淋巴结清扫标准,也是导致肺癌早期复发转移的潜在危险因素。
 
早期肺癌短期复发的关键病理特征包括:微乳头/实体型腺癌、脉管浸润(LVI)、胸膜侵犯(PL1/PL2)、隐匿性淋巴结转移(pN1)、淋巴结微转移及特定分子变异(如EGFR exon20插入突变、TP53/KRAS共突变)。识别这些因素有助于个体化辅助治疗和强化随访。ACCP指南[5]提出PL1/PL2使IB期5年EFS下降15%-20%。TP53/KRAS共突变在鳞癌中比例较高,与吸烟相关,研究表明[6]TP53/KRAS共突变可以促进肿瘤的侵袭性,增加肿瘤的复发风险。该两例患者病理分化程度均较差,第1例为低分化腺癌,局灶伴神经内分泌标记表达,第2例为中、低分化鳞癌。“屋漏偏逢连夜雨”,同时这两例患者的术后病理均提示伴有复发的高危因素:第1例患者伴有胸膜侵犯及气道播散,第2例患者伴有脉管癌栓,这些都可能是肿瘤短期内复发的导火索。除了肿瘤本身的病理学特征,患者的个体因素也会显著影响早期肺癌术后的复发风险。临床中需综合评估,通过戒烟、运动、合并症管理及心理支持等优化预后。
 
近几年多项研究表明MRD监测在术后治疗的指导价值不断提升。MRD(微小残留病灶,Minimal Residual Disease)检测就像给身体配备了一群“肿瘤侦察兵”,通过高灵敏度技术(如ctDNA分析)早期发现分子水平的残留肿瘤或复发信号,对指导个体化治疗和改善预后具有重要意义。2021年《非小细胞肺癌分子残留病灶专家共识》的发布掀起了MRD热潮,在2023年9月的WCLC及ESMO年会上,发表了几篇早期肺癌领域关于MRD检测的前沿研究,揭示了术后不同时间点ctDNA的预测效能存在差异,DYNAMIC研究[7]显示术后3天/1月ctDNA状态与预后相关,术后1天ctDNA状态与预后不相关;LUNGCA-1研究[8]显示术后1月ctDNA的复发预测效能优于术后3天ctDNA。同时多项研究也证实了ctDNA-MRD检测可能有助于在影像学复发前发现早期肺癌患者的复发,具有重大的临床意义。DYNAMIC研究[7]显示,术后ctDNA阳性患者中,90%在影像学复发前出现MRD信号,提前中位时间为4.7个月。一项来自韩国的研究[9]随访5年,对278例手术切除的I-IIIA期EGFR突变的NSCLC患者,进行影像学随访的同时,也使用ddPCR纵向监测患者的ctDNA,结果显示有69%的EGFR 19DEL患者和20%的EGFR L858R突变患者在影像学复发前检测到了MRD。LUNGCA研究[10]的结果也显示,从ctDNA-MRD阳性到影像学复发的中位领先时间为9.1个月(273天),Gale,D等人的研究[11]结果显示,从检出ctDNA到检出原发肿瘤复发的中位时间为7.1个月(212.5天)。JTO杂志发表了一项评估ctDNA作为生物标志物,来判断EGFRm NSCLC患者MRD状态的可行性和有效性的研究[12],该研究将患者分为了基线ctDNA阴性、基线ctDNA阳性但术后MRD阴性、基线ctDNA和术后MRD阳性三组。结果显示,三组患者3年DFS率的差异具有统计学意义(84%vs 78%vs 50%;P=0.02),这提示基于ctDNA-MRD状态的风险分层和复发检测具备可行性。CACA指南也提出MRD检测用于指导NSCLC术后复发或转移风险评估。早期肺癌患者术后进行MRD检测,可以更早的监测到肺癌的复发,MRD阳性提示患者体内可能存在残留的癌细胞,复发风险显著升高,需要进行更积极的辅助治疗,如辅助化疗、靶向治疗或免疫治疗,以降低复发风险。
 
MRD检测不仅可以预测复发风险,还可以指导围手术期治疗决策,通过MRD检测结果,医生可以根据患者的具体情况制定个性化的治疗方案,提高治疗的精准性和有效性。2024年ASCO年会上,ADAURA研究公布了ctDNA-MRD探索性分析结果[13]。MRD阳性相较于影像学复发(DFS事件)中位提前了4.7个月,基线MRD阳性患者中,奥希替尼组80%转为阴性,而安慰剂组无一例转阴。该研究进一步验证了ctDNA-MRD检测在早期EGFRm NSCLC中的应用价值,揭示奥希替尼辅助治疗EGFR突变型NSCLC的获益与ctDNA清除率相关。此外,MRD检测还可能帮助识别出需要延长奥希替尼辅助治疗的高危人群。而对于MRD阴性肺癌患者,多个试验均显示其5年生存率更优,预后更佳。在CheckMate-816中,达到pCR或MPR的患者多见于MRD阴性,这些患者的EFS和OS获益趋势更佳,纳武利尤单抗+化疗新辅助治疗后ctDNA清除患者的5年OS率为75%,而ctDNA未清除患者的5年OS率仅53%,但该试验未直接报道MRD检测(如ctDNA动态监测)结果[14]。广东省人民医院吴一龙教授团队的一项研究[15]纳入了261名I-III期NSCLC手术患者,913份动态血浆标本,96.8%动态监测MRD阴性患者在随访期间未出现疾病复发,ctDNA-MRD至少监测至术后18个月,持续未转阳的患者可能为潜在治愈的人群。同时研究结果显示MRD阴性患者不能从辅助治疗中获益,可能不需要进行额外的辅助治疗(阴性预测值>80%),避免了过度治疗带来的副作用和经济负担。2025年ASCO大会上Martin Reck教授再次公布AEGEAN ctDNA相关探索性分析数据[16],进一步探索了术后MRD状态对疗效的预测作用,为围术期个体化治疗提供了新证据。相较于MRD阴性患者(151例,89.9%),少数术后MRD阳性患者(17例,10.1%)整体预后更差,MRD阳性患者术后12个月复发或死亡率为76.5%,明显高于MRD阴性患者(11.9%),在所有MRD阳性对比MRD阴性患者中,12个月DFS率分别为14.3%(95%CI:2.4-36.3)和89.3%(95%CI:82.6-93.5),对比度伐利尤单抗组与安慰剂组,MRD阴性患者的HR=0.56,MRD阳性患者的HR=0.78。基于以上研究数据,术后MRD检测有望作为术后辅助治疗的疗效预测潜在指标,为围术期个体化治疗提供进一步指导。
 
本文中两例患者能够在早期发现肿瘤并及时给予手术治疗,他们是幸运的,但是术后短期内出现疾病复发转移,无疑是让他们心灵蒙上一层冰霜。为了让更多的早期肺癌患者在希望的道路上走得更长、更久,作为医生的我们需要继续努力前行,对患者全程管理,术前充分评估,给予标准的手术方式,术后动态监测,及时干预,给予个体化治疗。前路漫漫亦灿灿,对于早期肺癌的治疗道路尚且漫长,充满险阻,需要寻找更有效的治疗方案和监测方法,使患者得到更加有效、更恰当的治疗。MRD检测就如同肺癌治疗中的“智能导航”,目前多项研究证实其在早期肺癌术后预测复发、监控疗效和指导治疗等方面具有一定的指导意义,虽尚未纳入指南推荐,但其敏感性较好,未来可期。
 
参考文献
 
[1]Chinese Thoracic Society,Chinese Medical Association et al.Chinese expert consensus on diagnosis and treatment of pulmonary nodules(2024).Zhonghua Jie He He Hu Xi Za Zhi.2024Aug 12;47(8):716-729.
 
[2]Jun Xie,Xian Zhang,et al.Effect of Postoperative Adjuvant Chemotherapy on Recurrence of StageⅠB Non-Small Cell Lung Cancer Patients with Risk Factors for Recurrence.Journal of Cancer Research and Clinical Oncology.2020 June;Volume146:2231-2239.
 
[3]Roy S Herbst,Thomas John,et al.Molecular residual disease analysis of adjuvant osimertinib in resected EGFR-mutated stage IB–IIIA non-small-cell lung cancer.Nature Medicine.2025 Mar;Volume31:1958–1968.
 
[4]Hisashi Saji,Morihito Okada 2,Masahiro Tsuboi,et al.Segmentectomy versus lobectomy in small-sized peripheral non-small-cell lung cancer(JCOG0802/WJOG4607L):a multicentre,open-label,phase 3,randomised,controlled,non-inferiority trial.The Lancet.Volume 399,Issue 10335,April 2022,1607-1617.
 
[5]Rami-Porta R,et al.The IASLC Lung Cancer Staging Project:Proposals for the Revisions of the T Descriptors in the Forthcoming Eighth Edition of the TNM Classification for Lung Cancer.J Thorac Oncol.2015 Jul;10(7):990-1003.
 
[6]Ea Maria Tønning Tønnesen,Magnus Stougaard,et al.Prognostic value of KRAS mutations,TP53 mutations and PD-L1 expression among lung adenocarcinomas treated with immunotherapy.J Clin Pathol.2023 Dec 14;77(1):54-60.
 
[7]Yi Pan,Jia-Tao Zhang,et al.Dynamic circulating tumor DNA during chemoradiotherapy predicts clinical outcomes for locally advanced non-small cell lung cancer patients,Cancer Cell.2023 Oct 9;41(10):1763-1773.[8]Liang Xia,Jiandong Mei,et al.Perioperative ctDNA-Based Molecular Residual Disease Detection for Non-Small Cell Lung Cancer:A Prospective Multicenter Cohort Study(LUNGCA-1)Clin Cancer Res.2022 Aug 2;28(15):3308-3317.[9]Jung H A,Ku B M,Kim Y J,et al.Longitudinal Monitoring of Circulating Tumor DNA From Plasma in Patients With Curative Resected Stages I to IIIA EGFR-Mutant Non–Small Cell Lung Cancer[J].Journal of Thoracic Oncology,2023,18(9):1199-1208.[10]Liang Xia,Qiang Pu,Ran Kang et al.Dynamic ctDNA informs whole-course postoperative precise management of NSCLC(LUNGCA study),J Natl Cancer Inst.2025 Mar 25:061.[11]Gale,D et al.Residual ctDNA after treatment predicts early relapse in patients with early-stage non-small cell lung cancer.Annals of oncology:official journal of the European Society for Medical Oncology vol.33,5(2022):500-510.[12]Jung HA,Ku BM,Kim YJ,et al.Longitudinal Monitoring of Circulating Tumor DNA From Plasma in Patients With Curative Resected Stages I to IIIA EGFR-Mutant Non-Small Cell Lung Cancer.J Thorac Oncol.2023 Sep;18(9):1199-1208.[13]Tom John,Christian Grohe,Jonathan W.et al.Molecular residual disease(MRD)analysis from the ADAURA trial of adjuvant(adj)osimertinib in patients(pts)with resected EGFR-mutated(EGFRm)stage IB–IIIAnon-small cell lung cancer(NSCLC).2024 ASCO,8005.[14]Patrick M,et al.Overall survival with neoadjuvant nivolumab(NIVO)+chemotherapy(chemo)in patients with resectable NSCLC in CheckMate 816..2025 ASCO,8000.[15]Dong S,Wang Z,Zhang JT,Yan B,Zhang C,G,Circulating Tumor DNA-Guided De-Escalation Targeted Therapy for Advanced Non-Small Cell Lung Cancer:A Nonrandomized Controlled Trial.JAMA Oncol.2024 July;10(7):932-940.[16]Martin Reck,et al.Association of post-surgical MRD status with neoadjuvant ctDNA dynamics,genomic mutations,and clinical outcomes in patients with resectable NSCLC(R-NSCLC)from the phase 3 AEGEAN trial.2025 ASCO,8009.

本内容仅供医学专业人士参考


肺癌

分享到: 更多